Free Consultation:

Info@zsdlaw.com

(718) 523-1111

  • Home
  • Practice Areas
    • Nursing Home Abuse
    • Commercial Litigation
    • Landlord Tenant
    • Bankruptcy
    • Real Estate
    • Criminal Defense
    • Trusts & Estates
    • Divorce and Family Court
    • Personal Injury
  • About Us
    • Attorneys
  • News
  • Contact Us

Award Winning

EXPERIENCED & PROFESSIONAL ATTORNEYS

Request Free Consultation

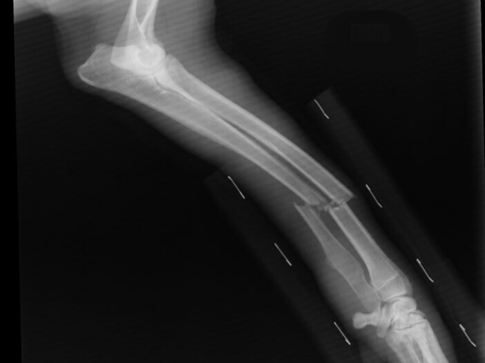
Nursing Home Errors: When Mistakes Become Broken Bones

September 18, 2025 by ZSD Law

When families entrust older people to nursing home care, they expect to encounter safe environments with proper supervision. Unfortunately, nursing home errors that lead to broken bones affect thousands of residents annually. Understanding how these preventable injuries may occur and what steps can be taken can make all the difference between suffering in silence and holding negligent facilities accountable.

What to Do When There’s a Break

Discovering your loved one has suffered a broken bone in a nursing home can be overwhelming. Taking swift action in the first hours is crucial for their health and potential legal claims.

Immediate Medical Response – Ensure your loved one receives proper medical attention. Even if staff claim the injury has been addressed, request evaluation by an independent physician or hospital emergency department. Many nursing home falls cause severe injuries requiring surgical procedures, and proper diagnosis prevents complications.

Document Everything – Create a detailed record as soon as possible. Photograph visible injuries, noting date and time. If possible, photograph the location of the incident, capturing hazards like wet floors, poor lighting, or obstacles. Request copies of all incident reports and don’t accept vague explanations.

Secure Records and Contact Authorities – Request complete medical records, including X-rays, treatment notes, and follow-up recommendations. If you suspect criminal actions, contact law enforcement. Consider reporting to Adult Protective Services and your state’s Long-Term Care Ombudsman. Document all communications with nursing home staff.

Understanding How Nursing Home Negligence Leads to Fractures

Broken bones in nursing homes rarely result from unavoidable accidents. More than 27% of accidents leading to broken bones involve underlying negligence and multiple care standard failures.

Inadequate Supervision – Nursing home residents experience an average of 2.6 falls per year, with many occurring when residents lack proper supervision during high-risk activities. Staff shortages and insufficient training create dangerous situations where vulnerable residents attempt independent movement, leading to preventable fractures.

Environmental Hazards – Usual factors that contribute to broken bones include inadequate lighting, cluttered walkways, missing handrails, slippery floors, and improperly maintained equipment. Nursing homes should implement effective fall prevention strategies with regularly scheduled mobility assessments.

Improper Handling and Medication Issues – The most common reason for broken bones is improperly lifting patients when moving them. Many elderly residents may take medications, which commonly increase their risk of falls due to dizziness or changes in blood pressure. Nursing homes must monitor medications carefully and adjust care plans accordingly. Failure to address these risks constitutes negligence.

Building Your Legal Case: Evidence and Documentation Requirements

Successfully pursuing nursing home negligence claims requires comprehensive evidence demonstrating how facility failures directly contributed to your loved one’s broken bones.

Medical Evidence – Obtain complete medical records from the nursing home and treatment facilities, including diagnostic imaging, treatment plans, and complication documentation. Medical records provide a clear demonstration of injury severity and treatment adequacy.

Incident Documentation – Request copies of incident reports, staff schedules during the injury, maintenance records for involved equipment, and the resident’s care plan. These documents often reveal patterns of negligence or inadequate safety measures.

Witness Testimony and Expert Analysis – Identify residents, staff, or visitors who witnessed the incident. Their statements provide crucial insight into the circumstances of the injury. Qualified experts can review facility protocols and staffing levels to determine the preventability of injuries and whether the nursing home met reasonable care standards.

Financial Documentation – Maintain detailed records of all injury-related expenses, including additional medical care, rehabilitation costs, and changes in care level. Financial consequences can be significant, encompassing medical bills, physical therapy, and long-term care needs.

Recovery and Rehabilitation: Supporting Your Loved One’s Healing Journey

The period following broken bone injuries requires careful attention to physical healing and emotional support. Understanding the recovery process and advocating for appropriate care have a significant impact on long-term outcomes.

Understanding Elderly Healing – Older adults heal more slowly than younger individuals, which can lead to additional complications. The healing process requires specialized attention as complications arise more easily, and recovery takes longer. Broken bones increase death risk for older people for up to 10 years, making proper care essential.

Advocating Treatment – Ensure your loved one receives appropriate medical care from qualified orthopedic specialists. Some breaks require surgery to align the bone fragments properly. Don’t hesitate to seek a second opinion if you are concerned about your treatment plan.

Preventing Future Incidents – Past fall history is the single best predictor of future falls, with 30-40% of residents falling again. Collaborate with the nursing home to develop updated fall prevention plans that address specific injury circumstances through environmental modifications, increased supervision, or adjustments to care routines.

Long-term Monitoring and Legal Accountability – Ensure that the nursing home provides appropriate rehabilitation services, physical therapy, and assistive devices. Falls can cause permanent disability, making independence recovery more difficult. So, be sure to continue pursuing legal action if negligence is involved. Holding facilities accountable provides compensation to families and protects other residents from similar injuries.

When nursing home errors result in broken bones, families confront both urgent medical needs and challenging questions about facility accountability. The path forward involves several critical steps: responding promptly when injuries occur, identifying warning signs of substandard care, gathering the necessary evidence for legal action, and advocating for quality treatment during recovery. A skilled attorney experienced in handling nursing home cases can be an invaluable ally during these difficult times, managing the legal complexities so families can focus on what matters most – caring for their injured loved one.

Filed Under: Nursing Home Abuse

Primary Sidebar

  • Home
  • Attorneys
  • Practice Areas
  • Contact Us

HAPPY CLIENTS

“Everyone at the firm was also wonderful to deal with. I recommend this firm and David Shapiro enthusiatically and completely without any caveats. You won’t do any better.”

David L.

Zelenitz, Shapiro & D'Agotino, P.C - Attorneys At Law - 5stars

Free Consultation – Quick & Easy

Speak with an attorney at no charge. No office visit required. Expect a response within 24 hours.

* ALL FIELDS REQUIRED

  • This field is for validation purposes and should be left unchanged.

Copyright © 2026 ZELENITZ, SHAPIRO & D’AGOSTINO, P.C., Queens NYC Law Firm | Privacy | Terms